Sunday: 12:00 PM - 6:00 AM
Opens 12:00 PMAsia market in satellite town market, near hanif heights, Gujranwala
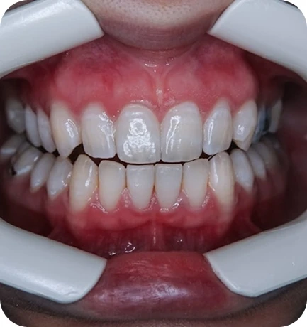
View on Maps →Professional teeth whitening removes stains and discoloration to reveal a brighter, more radiant smile. Safe and effective options are available to suit your lifestyle and smile goals.
Professional teeth whitening removes stains and discoloration to reveal a brighter, more radiant smile. Safe and effective options are available to suit your lifestyle and smile goals.

After assessing your oral health, we apply a powerful yet gentle whitening agent to your teeth—activated by a special light for optimal results. Multiple sessions may be recommended depending on your teeth and desired shade.


Pre-treatment examination to assess tooth condition and suitability
Professional cleaning removes plaque and surface stains
Protection of gums and lips with specialized barriers
Whitening gel application containing hydrogen peroxide or carbamide peroxide
Activation with LED light to accelerate the whitening process
Final polish and evaluation to assess results and provide aftercare instructions
Whitening treatments are ideal for people seeking a brighter smile and to boost confidence.
Your teeth have lost their natural whiteness and appear yellow, gray, or discolored due to age, medications, or lifestyle habits.
You notice dark stains or discoloration from coffee, tea, wine, or other beverages that regular brushing cannot remove.
You want to brighten your smile for a special occasion like a wedding, photo shoot, job interview, or presentation.
You avoid smiling in photos or social situations because you're unhappy with the color or appearance of your teeth.
Professional whitening is safe under dental supervision and delivers more predictable, long-lasting results compared to over-the-counter products.
Early intervention prevents complications and ensures better outcomes. Schedule your consultation today and take the first step towards optimal oral health.
Professional teeth whitening delivers safe, dramatic results in just one session, customized to your sensitivity and desired shade. Professional-grade treatments provide better, longer-lasting results than over-the-counter options.
See noticeable whitening after just one session, with optimal results after multiple treatments.
Professional oversight ensures safe application and minimizes risk of sensitivity or damage.
Personalized approach based on your tooth sensitivity and desired shade for best outcomes.
Professional-grade whitening provides more durable results than over-the-counter options.