Sunday: 12:00 PM - 6:00 AM
Opens 12:00 PMAsia market in satellite town market, near hanif heights, Gujranwala
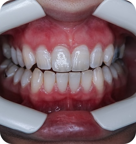
View on Maps →Professional teeth cleaning is essential for maintaining optimal oral health. Our scaling and polishing services remove plaque, tartar, and surface stains to give you a cleaner, brighter smile.
Professional teeth cleaning is essential for maintaining optimal oral health. Our scaling and polishing services remove plaque, tartar, and surface stains to give you a cleaner, brighter smile.

The scaling and polishing process involves removing plaque and tartar buildup from your teeth and gums. We use specialized tools to gently remove these deposits without damaging your teeth. The polishing step removes surface stains and leaves your teeth smooth and shiny.


Initial examination to assess overall oral health and identify problem areas
Scaling procedure removes plaque and tartar from above and below the gum line
Deep cleaning of periodontal pockets if gum disease is present
Professional polishing with specialized paste to remove surface stains
Fluoride treatment is applied to strengthen and protect teeth
Oral hygiene instructions and personalized recommendations for home care
Professional teeth cleaning provides numerous benefits for your oral health and overall well-being.
You notice hardened yellow or brown deposits on your teeth that regular brushing cannot remove, especially near the gum line.
You experience bleeding, redness, or swelling of your gums when brushing or flossing, indicating early gum disease.
You notice discoloration or surface stains from coffee, tea, wine, or smoking that home care cannot remove.
You struggle with chronic bad breath despite regular brushing and mouthwash, often caused by bacteria buildup.
Professional cleanings are painless and typically completed in about 30-60 minutes. They're an essential part of maintaining good oral health and preventing more serious dental problems.
Early intervention prevents complications and ensures better outcomes. Schedule your consultation today and take the first step towards optimal oral health.
Professional scaling and polishing removes stubborn tartar and plaque that brushing cannot eliminate, reducing your risk of cavities and gum disease. Regular cleanings brighten your smile and contribute to better overall health.
Eliminates hardened tartar deposits that regular brushing cannot remove, preventing cavities and gum disease.
Regular cleanings help prevent periodontal disease, which is a leading cause of tooth loss in adults.
Polishing removes surface stains, leaving your teeth noticeably whiter and brighter.
Good oral health is linked to better cardiovascular health and reduced risk of systemic diseases.